学校日記

6年理科ー大地のつくりと変化

公開日
2025/10/06
更新日
2025/10/06

6年生

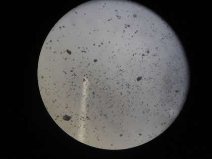
火山灰を観察しました。川の砂と違って、角が角張っており、透き通ったガラスのような石もたくさん見られました。