6年理科ー植物の成長と水の関わり
- 公開日
- 2023/06/23
- 更新日
- 2023/06/23
6年生
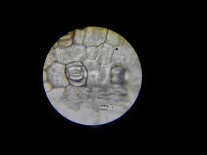
根から吸い上げた水が出るところを観察しました。顕微鏡の使い方をおさらいして、ツユクサの葉の表面の薄皮を向き観察しました。ツユクサの気孔は、100倍くらいで観察できるのでみんなが見ることができました。
6年生
根から吸い上げた水が出るところを観察しました。顕微鏡の使い方をおさらいして、ツユクサの葉の表面の薄皮を向き観察しました。ツユクサの気孔は、100倍くらいで観察できるのでみんなが見ることができました。
学校だより
Let's 自主学習
学校のきまり
2025年度
2024年度
2023年度
2022年度
2021年度
2020年度
2019年度
2018年度
2017年度
2016年度
2015年度
2014年度
2013年度
2012年度
2011年度
2010年度
2009年度
2008年度