学校日記

5年 メダカのたまご

公開日
2020/05/29
更新日
2020/05/29

学校の様子

とても暑くなりましたね。
体調をくずしていませんか。
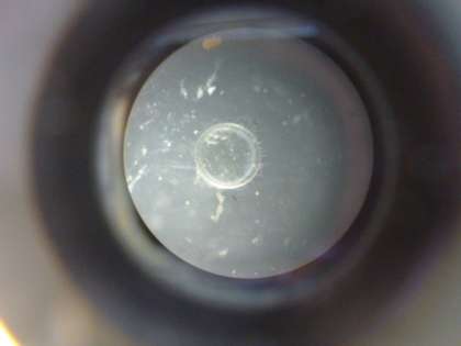
めだかのたまご,2日目と3日目の様子です。
また学校でも観察していきましょう。
いよいよ学校が始まります。
先生たちは,みんなのことをまっていますよ。