学校日記

ひまわり メダカのたまごをかんさつしよう!

公開日
2025/06/03
更新日
2025/06/03

ひまわり学級の部屋

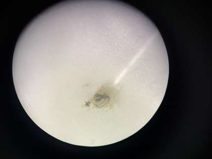
双眼実体顕微鏡という顕微鏡を使って、メダカのたまごを観察しました。
目があったり、心臓があったり、卵の中で動いていたりと、色んな姿を見ることができました。
大きく成長してほしいですね。