学校日記

5年生理科「メダカの卵の観察」

公開日
2017/06/30
更新日
2017/06/30

5年生

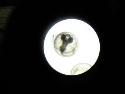
 理科の学習で,メダカの卵の観察をしました。班ごとに顕微鏡を使って学習したことを生かしてピントを合わせます。慣れてくるとすぐに見える状態にすることができました。こんな様子が見えました。