学校日記

【6年生】生物どうしの関わり

公開日
2022/07/13
更新日
2022/07/13

学校の様子

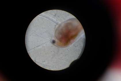
 理科の学習で顕微鏡で水の中の生き物を観察しました。ミジンコなどたくさん見ることができました。