学校日記

5年 理科

公開日
2020/07/13
更新日
2020/07/13

5年生

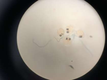
本日,5年生の理科ではメダカの卵を観察しました。

ぎょろっとした目のようすも見ることができ

子どもたちは楽しんで観察を行っていました。