学校日記

科学センター学習15

公開日
2022/09/12
更新日
2022/09/12

6年生より

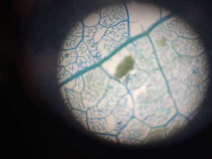
6年生の実験教室も後半です。自分で作った葉の標本を顕微鏡で観察している様子です。
とても美しく見えます。