学校日記

★6年・理科・ホウセンカの気孔をデジカメでキャッチ!★2009/07/03

公開日
2009/07/04
更新日
2009/07/03

教育情報化

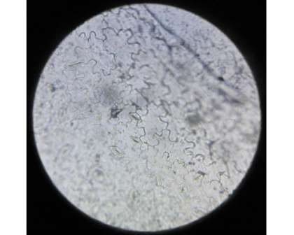
★6年では,理科<植物の水の通り道>の学習で,顕微鏡を使って<ホウセンカの気孔>を観察します。
 ホウセンカの葉の裏の表面の皮をうすくはぎ取り,顕微鏡で観察します。
 こんな時もデジカメはとても役に立ちます。
 顕微鏡の接眼レンズにデジカメのレンズ筒をうまくくっつければ,とてもステキな美しい世界を見ることができます。
 孔辺細胞や孔辺細胞を囲む細胞,そして,気孔もとても美しくキャッチできます。
 デジカメでとらえたとてもステキな美しい画像を教室で大写しにして共有して,みんなで感動を新たにできます。