学校日記

5年 理科 初めての顕微鏡

公開日
2022/05/20
更新日
2022/05/20

5・6年

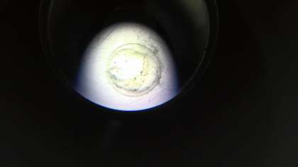
理科「メダカのたんじょう」の学習で顕微鏡を使ってメダカのたまごを観察しました。初めての顕微鏡の学習で,反射鏡を使って明るさを調節することや調節ねじでピントを合わすことが難しい場面もありましたが,たまごの中の様子に驚いていました。たまごによって違いがありますが,目が見えた人,心臓がトクトク動くのがわかった人もいました。