5年生 理科 「メダカのたんじょう」 その3
- 公開日
- 2015/06/27
- 更新日
- 2015/06/27
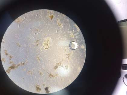
5年生
ミジンコやゾウリムシなど色々な生き物を見つけることができました!!
5年生
ミジンコやゾウリムシなど色々な生き物を見つけることができました!!
2025年度
2024年度
2023年度
2022年度
2021年度
2020年度
2019年度
2018年度
2017年度
2016年度
2015年度
2014年度
2013年度
2012年度
2011年度
2010年度
2009年度
2008年度