学校日記

池にはたくさんのお宝が!!

公開日
2013/07/05
更新日
2013/07/04

5年生

池や川の生き物は,エサをもらわずに成長していることから,
『きっと水中で何かを食べているのだろう』という予想しました。

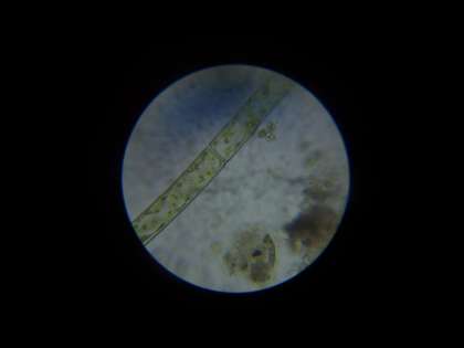
池の底のもやもやをすくって,スライドガラスにのせ
顕微鏡で見てみると……

ケイソウやボルボックス,ケンミジンコなどたくさんの
プランクトンが見つかりました。

自然の世界は多くの生き物のつながりで成り立っています。
それぞれの生き物が一生懸命に生命をつないでいることが
よく分かりました!!