□5年生 理科「生命のつながり」
- 公開日
- 2022/05/13
- 更新日
- 2022/05/13
学校の様子
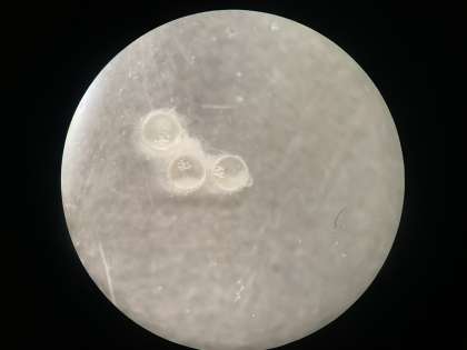
理科の学習では,メダカの卵がたくさん産まれ,その卵からもメダカが産まれ始めています。
子どもたちは,そのメダカお卵を観察しました。
卵の時はどんな様子なのか,どのようにして産まれてくるのか,産まれた後はどのような姿なのか,これから詳しく調べていきます。
学校だより
学校評価
お知らせ
地震・台風に対する措置
2025年度
2024年度
2023年度
2022年度
2021年度
2020年度
2019年度
2018年度
2017年度
2016年度
2015年度
2014年度
2013年度
2012年度
2011年度
2010年度
2009年度
2008年度