学校日記

八条中学校理科室からのふしぎ4

公開日
2020/05/08
更新日
2020/05/08

学校の様子

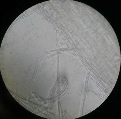
おいしそうな「シイタケ」を顕微鏡で観てみると・・・

繊維状のものが見えます。 『これは何?』

続けて「カビ」を顕微鏡で観てみると・・・
何と!! 同じように繊維状のものが・・・
「シイタケ」は「カビ」なの?『えっー』

さらに しばらくほったらかしの「シイタケ」を紙の上からのけてみると
あらふしぎ 『シイタケのスタンプ』が・・・・

『これはいったい何?』 

考えて 学校再開後に 理科の先生まで報告ください。

http://www.edu.city.kyoto.jp/hp/hachijo-c/rika4.mp4