5年生 理科「メダカのたんじょう」その3
- 公開日
- 2022/07/07
- 更新日
- 2022/07/07
5年生の活動
みんなが観察したメダカのたまごです。
観察を繰り返すうちに,
「これはだいたい生まれて5日くらいかな。」
「くるくると動いているから,もう明日には生まれるかも。」
と,何日目のたまごかを判断することができるようになりました。
5年生のみなさん,下の写真は,だいたい何日目のたまごだと思いますか?
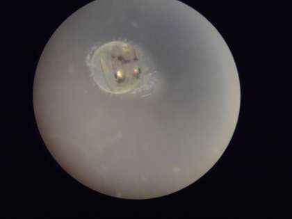
5年生の活動
みんなが観察したメダカのたまごです。
観察を繰り返すうちに,
「これはだいたい生まれて5日くらいかな。」
「くるくると動いているから,もう明日には生まれるかも。」
と,何日目のたまごかを判断することができるようになりました。
5年生のみなさん,下の写真は,だいたい何日目のたまごだと思いますか?
学校教育目標・経営方針
学校評価
小中一貫教育構想図
秀蓮だより
学校生活のルール
2026年度
2025年度
2024年度
2023年度
2022年度
2021年度
2020年度
2019年度
2018年度