学校日記

6年 理科の実験を行いました!

公開日
2014/06/27
更新日
2014/06/27

6年

理科の学習では、
植物の成長と日光や水とのかかわりについて
学習しています。

前回は、植物の葉から水が出ているのかどうかを実験しました。
ホウセンカに袋をかぶせ、15分後と30分後に観察したところ、
袋の内側には水滴がたくさんついていました。

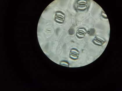
そこで、今度は葉の表面を顕微鏡で観察し、
葉の表面には小さな穴がたくさんあることを発見しました。

子どもたちは、
水が水蒸気となってこの小さな穴から出ていくということに
気づきました!

じっくりと観察し、理解を深めてほしいと思います。