学校日記

【5年生】顕微鏡をのぞいて見ると・・・

公開日
2020/10/09
更新日
2020/10/09

5年

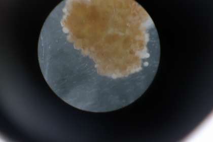
理科の学習で,顕微鏡を使ってアサガオの花粉を見ている様子です。
以前に双眼実体顕微鏡を使ったことはありましたが,いよいよ顕微鏡を使い始めました。
反射鏡の角度を変えながら,明るさを調節したり,調節ねじを回しながら,ピントを合わせたりして,一生懸命花粉を見ていました。うまくピントを合わせられない子も,友達にアドバイスをもらいながら,観察していました。いろいろなものを見て,慣れていってほしいと思います。