学校日記

6年理科 生物どうしのつながり

公開日
2025/06/13
更新日
2025/06/13

6年生

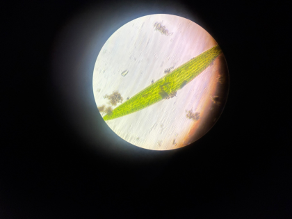
昨日今日と、池の中などにいる小さな生物を顕微鏡で観察しました。

学校内にある観察池の水を調べてみると・・・、

「なんかいた!」「これかなぁ?」「動いた!」と顕微鏡をのぞき

ながらうれしそうに友達に話していました。

ゾウリムシやミカヅキモなどを見つけることができたようです。

今日の昼休みにも、もっと見たい子が理科室に来て、観察して

いました。(ケンミジンコとゾウミジンコが見つかりました。

おそらく。)探す活動は、結構楽しいものです。